本文へスキップ

広島中央矯正歯科は、広島市中区八丁堀にある矯正歯科治療専門の診療所です。

TEL. 082-502-6803

〒730-0013 広島県広島市中区八丁堀11−10KSビル5F

広島中央矯正歯科

広島中央矯正歯科ホームページ

不正咬合の治療方法 > 不正咬合の種類 > 顔面非対称

不正咬合の治療方法:不正咬合の種類:顔面非対称


不正咬合の治療方法
 ・正常咬合とは
 ・不正咬合の種類
   ・叢生
   ・上顎前突
   ・下顎前突
   ・上下顎前突
   ・開咬
   ・過蓋咬合
   ・萌出遅延・埋伏
   ・顔面非対称
 ・包括(全顎)的治療vs限局(部分)的治療
    

顔面非対称 (がんめんひたいしょう) 
人間の身体は、左右対称のように見えますが、心臓や腸などの内臓器官の
形態や配置には左右非対称性が認められます。一対ある器官の非対称性は
例外ではなく通例であるとされており、手や足についても、利き手と
利き足があり、その長さや大きさも明らかに左右差があります。
したがって、顎顔面についても対称であるとは言い難いものです。
顔の両半分は、完全な鏡映像ではなく、 正常な顔はある程度は非対称で
あるのが通常です。
例えば、一対ある耳や眼の大きさ・形・位置には左右差があります。
眉毛は、眉頭や眉尻の位置、毛の量などが左右対称ではありません。
鼻にしても、鼻翼の大きさ・形は左右で異なり、鼻中隔の左右への
弯曲や、斜鼻が認められることも一般的です。
このように人間の顔は完全な対称ではないのですから、誰もが顔面非対称
であると言うことができます。

顔面非対称の定義は、日本口腔外科学会の顎変形症治療ガイドライン
では、顎変形症の臨床的分類として、オトガイの側方偏位が大きいものと
しており、上顎非対称、下顎非対称、上下顎非対称、片側性咬筋肥大など
を挙げています。また、アメリカ口腔外科学会では非対称の定義を骨格的
な3mm以上のずれとしています。

顔面非対称に伴う不都合な点として一番に挙げられるのは、魅力的だとは
言い難いなどの容貌に関するもので、これらは心理的障害と言うことが
できます。その後に続くものが、顎変形症あるいは一般の不正咬合にも
みられるような咀嚼や発音、さらに顎機能障害などです。
顔面非対称の患者さんの大部分は、垂直方向や矢状方向の非対称よりも、
水平方向や横径方向の不調和をより気にしているとされています。

顔面非対称の原因は、先天性と後天性とに大きく分けられます。
これは、遺伝性または先天性の形態異常と、習癖や外傷などの環境要因、
そして歯の干渉による下顎の偏位のような機能的偏位が挙げられます。

顔面非対称の治療としては、咬合には関係していない局所の修復で対応
できるものは形成外科あるいは美容外科に委ねることになりますが、
咬合管理が必要な場合には矯正歯科治療単独あるいは顎変形症としての
顎矯正手術を併用した外科的矯正治療を行うことになります。
咬合に関連のある顔面非対称の治療は、先天性あるいは後天性の原因に
よる分類や、非対称の領域が下顎骨単独か上下顎に及ぶものかという分類
に従って論じられることが多いです。
しかも、生下時より著しい変形が認められる先天性の疾患を除くと、
顔面非対称に対する矯正歯科治療は永久歯列期に顎骨の成長完了後に
行われるカムフラージュ治療あるいは外科的改善が主となります。

治療を行う年齢に関しては、乳歯列期、混合歯列期、そして永久歯咬合が
完成してからの時期、さらに上下顎骨の思春期性成長が完了した時期に
分けて考える必要があります。

乳歯列期にみられる顔面非対称の原因には、先天異常、顎関節の外傷や
炎症のほかに、早期接触などの咬合干渉から生じる下顎偏位、さらに
片側咀嚼癖などの口腔習癖、横向き寝やうつぶせ寝などの睡眠姿勢が
挙げられます。
このような顔面非対称にみられる咬合状態は、前歯部あるいは側方歯群の
交叉咬合です。
乳歯列期にみられる側方歯群交叉咬合(lateral crossbite)は、機能性と
骨格性に分類されます。
このうち 臨床でよくみられるのは機能性交叉咬合です。
機能性交叉咬合の多くは、乳犬歯の早期接触による下顎の偏位によって
生じています。
乳歯列期の側方歯群交叉咬合は、この時期の前歯部反対咬合に比較して
自然治癒の可能性は低いといわれています。
上顎歯列弓を側方拡大して機能的な交叉咬合を改善(unlock)することは
今後の上顎における自然成長能力を引き出すことにつながると考えられて
います。
また、下顎の位置を本来あるべき位置に導くことが、将来的な顎の変形
および顎関節の異常を予防することにもつながるとも考えられています。
乳歯列期の交叉咬合に対する治療としては、下顎の偏位を取り除くために
乳犬歯の咬合調整(Occlusal equilibrium)を行うことがもっとも一般的で
有効な方法です。
次は、狭窄した上顎歯列弓をW-arch やQuad helix typeのlingual archや
可撤式または固定式のスクリューをよる拡大装置を用いて拡大する方法で
この年齢では容易に拡大が得られるとされています。
最後は、マルチブラケット装置を用いて歯列弓の非対称を改善するために
個々の歯を排列することになります。

骨格性の要因が大きい症例では増齢的に咬合異常ならびに顔面非対称が
著明となり、永久歯列期にカムフラージュ治療あるいは顎矯正手術を併用
する治療を行うこととなるため、混合歯列期の治療においては症例の鑑別
診断とこの時期の治療ゴールを明確にすることが大切です。

顔面非対称に対する矯正歯科治療において、顎変形症以外の矯正歯科治療
を希望する患者さんの多くは、軽度のオトガイの偏位や顎角部の非対称
ならびに口裂の左右的傾斜が存在していても、顔面非対称を認識して
いないか、あるいは顔面非対称の治療を必要と感じていません。
そのため、患者さんの主訴に対する通常の矯正治療のみを行うことが多く
なります。 さらに、顎矯正手術が必要と考えられるような顔面非対称を
伴う顎変形症の患者さんも場合でも、手術を希望しなければ、
カムフラージュ治療を行うことになります。
上顎咬合平面の左右的傾斜の改善を必要とする顔面非対称症例に対して
行う上下顎移動術は、 上下顎骨や歯列咬合などの硬組織の対称性が大きく
改善される有用な手術術式です。 しかし、術後にリップラインの左右的
傾斜が残存することも多く、手術目標としての硬組織(上下顎骨)の
オーバーコレクション(過矯正)や、術後にスマイルトレーニングを
はじめとした軟組織に対する指導のほか、患者さんが非対称の改善が
まだ不十分と感じている場合には、さらなる手術の追加を考慮する必要が
あると思われます。

顔面非対称の咬合異常には、正面から見たときの上顎咬合平面の左右
いずれかの方向への、右上がり、 右下がり、左上がり、左下がりなどの
傾き(Occlusal cant)や上下顎歯列正中線の左右への偏位がみられます。
通常の矯正歯科治療だけでは、これらの咬合異常の改善が得られないと
考えられる場合や、顔面輪郭の非対称の改善を望む場合には顎矯正手術
(Orthognathic surgery)を併用した外科的矯正治療が必要となります。
すなわち、顔面の正中線に対称で調和のとれた顔貌と正常咬合を達成する
必要があります。
さらに、より対称性を高めるためには、硬・軟組織 のボリュームを増加
あるいは減少させる追加の輪郭形成手術などが必要となってきます。

そもそも軽度の顔面非対称は、正常な個々人の顔にも見られますが、
それは時には魅力的ですらあります。
顔の左右それぞれの半分は決して鏡面像のようにはなくて、非対称である
ことは一般的であって、この場合には非対称の治療は必要ではありません。
“正常域内の非対称(Normal asymmetry)”を超えて、どの程度から
“正常域を逸脱している(Abnormal)”とするのか見極めるのは容易では
ありません。
正面顔面写真や正面顔面X線写真などを用いて様々な分析や分類が行われ
ますが、的確に抽出されずに見落とされる要素があってはなりません。
すなわち、分析や分類を行う前に、患者さんの正面顔全体の対称性を端的に
把握することが肝要です。
また、患者さん自身による対称性の認識と、矯正歯科医や形成外科医とに
よる認識とにはズレが有ることについても理解しておく必要があります。
実際の治療においては、治療時期、治療方法、治療ゴールの選択肢は限りが
ないと思われます。それは、咬合や顔貌の状態によるものではなく、
患者さんの性格や学業・就労などの日常生活全般を考慮したうえで、
患者さんの負担を出来る限り軽減するように、より短い期間に集約的な
治療を行って、顔面の対称性の獲得を目指そうとするためです。
いずれにしても、完全な顔の対称性を得ることは難しく、最終的にどの程度
までの改善が可能なのか、十分に検討する必要があります。


参考文献

顔面非対称の臨床−1  
 顔面非対称の概念、原因と分類、分析       
鶴田仁史
 
矯正臨床ジャーナル 第34巻,第 1号,11-29, 2018

顔面非対称の臨床−2
 矯正歯科治療を必要としない部位にみられる顔面非対称−1       
鶴田仁史 
矯正臨床ジャーナル 第34巻,第 3号,11-32, 2018
        
顔面非対称の臨床−3       
 矯正歯科治療を必要としない部位にみられる顔面非対称−2       
  −頬部にみられる非対称(前)       
鶴田仁史
 
矯正臨床ジャーナル 第34巻,第 5号,67-87, 2018
        
顔面非対称の臨床−4       
 矯正歯科治療を必要としない部位にみられる顔面非対称−3      
  −頬部にみられる非対称(後)       
鶴田仁史
 
矯正臨床ジャーナル 第34巻,第 6号,67-74, 2018
        
顔面非対称の臨床−5        
 矯正歯科治療を必要としない部位にみられる顔面非対称−4       
  −顔面の広範囲の軟組織にみられる非対称       
鶴田仁史
 
矯正臨床ジャーナル 第34巻,第 8号,61-78, 2018
        
顔面非対称の臨床−6       
 矯正歯科治療を必要としない部位にみられる顔面非対称−5       
  −顔面輪郭形成術と整容的改善       
鶴田仁史
 
矯正臨床ジャーナル 第34巻,第10号,35-59, 2018
        
顔面非対称の臨床−7       
 顔面非対称に対する矯正歯科治療−1       
  −無歯期、乳歯列期ならびに混合歯列期に行う治療       
鶴田仁史 
矯正臨床ジャーナル 第34巻,第12号,11-25, 2018
        
顔面非対称の臨床−8       
 顔面非対称に対する矯正歯科治療−2       
  −永久歯列期に行う治療(前)       
鶴田仁史 
矯正臨床ジャーナル 第35巻,第 2号,61-77, 2019
        
顔面非対称の臨床−9       
 顔面非対称に対する矯正歯科治療−3       
  −永久歯列期に行う治療(中)       
鶴田仁史 
矯正臨床ジャーナル 第35巻,第 4号,67-97, 2019
        
顔面非対称の臨床−10       
 顔面非対称に対する矯正歯科治療−4      
  −永久歯列期に行う治療(後)       
鶴田仁史
 
矯正臨床ジャーナル 第35巻,第 6号,63-79, 2019
        

下記に、顎矯正手術を施行した顎変形症(顔面非対称)の症例の初診時の
口腔内写真を示しています。
ご覧になりたい症例の画像をクリックして下さい。

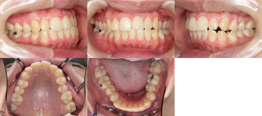
上下顎前歯部叢生と開咬を伴う顔面非対称(上顎咬合平面の右下がりと
下顎骨左方偏位)
を呈する骨格性下顎前突
(上顎Le Fort T型骨切り術+両側下顎枝垂直骨切り術)
上下顎前歯部叢生と開咬を伴う顔面非対称(上顎咬合平面の右下がりと下顎骨左方偏位)を呈する骨格性下顎前突(上顎Le Fort T型骨切り術+両側下顎枝垂直骨切り術) 初診時
詳しい治療経過をご覧になられる場合は画像をクリックして下さい。



下顎骨左方偏位を伴う骨格性下顎前突
(両側下顎枝矢状分割術)
下顎骨左方偏位を伴う骨格性下顎前突(両側下顎枝矢状分割術) 初診時
詳しい治療経過をご覧になられる場合は画像をクリックして下さい。



下顎骨右方偏位を伴う下顎後退
(両側下顎枝矢状分割術)
下顎骨右方偏位を伴う下顎後退(両側下顎枝矢状分割術) 初診時
詳しい治療経過をご覧になられる場合は画像をクリックして下さい。


      
上顎咬合平面の左上がりと下顎骨左方偏位を伴う顔面非対称
(上顎Le Fort T型骨切り術+両側下顎枝垂直骨切り術)
上顎咬合平面の左上がりと下顎骨左方偏位を伴う顔面非対称(上顎Le Fort T型骨切り術+両側下顎枝垂直骨切り術) 初診時
詳しい治療経過をご覧になられる場合は画像をクリックして下さい。



下顎骨右方偏位による交叉咬合を呈する顔面非対称
術前矯正治療を行わずに、両側下顎枝垂直骨切り術)
下顎骨右方偏位による交叉咬合を呈する顔面非対称(術前矯正治療を行わずに、両側下顎枝垂直骨切り術) 初診時
詳しい治療経過をご覧になられる場合は画像をクリックして下さい。



矯正治療の既往のある下顎骨右方偏位を呈する顔面非対称
術前矯正治療を行わずに、両側下顎枝垂直骨切り術)
矯正治療の既往のある下顎骨右方偏位を呈する顔面非対称(術前矯正治療を行わずに、両側下顎枝垂直骨切り術) 初診時
詳しい治療経過をご覧になられる場合は画像をクリックして下さい。



上顎咬合平面の右上がり傾斜と下顎骨右方偏位を呈する開咬を伴う
顔面非対称
術前矯正治療を行わずに、
上顎Le Fort T型骨切り術+両側下顎枝垂直骨切り術)
上顎咬合平面の右上がり傾斜と下顎骨右方偏位を呈する開咬を伴う顔面非対称(術前矯正治療を行わずに、上顎Le Fort T型骨切り術+両側下顎枝垂直骨切り術) 初診時
詳しい治療経過をご覧になられる場合は画像をクリックして下さい。



上顎咬合平面の左上がり傾斜と下顎骨左方偏位を呈する顔面非対称
(Le Fort T型骨切り術+下顎枝矢状分割術ならびに下顎枝垂直骨切り術)
上顎咬合平面の左上がり傾斜と下顎骨左方偏位を呈する顔面非対称(Le Fort T型骨切り術+下顎枝矢状分割術ならびに下顎枝垂直骨切り術) 初診時
詳しい治療経過をご覧になられる場合は画像をクリックして下さい。



右側臼歯部の鋏状咬合と上顎咬合平面の右下がり傾斜を伴う顔面非対称
(Le Fort T型骨切り術+下顎枝垂直骨切り術)
上顎咬合平面の左上がり傾斜と下顎骨左方偏位を呈する顔面非対称(Le Fort T型骨切り術+下顎枝垂直骨切り術) 初診時
詳しい治療経過をご覧になられる場合は画像をクリックして下さい。



さらに口唇口蓋裂の矯正治療例のなかにも顎矯正手術を併用した症例が
含まれています …

矯正治療の既往のある左側唇顎口蓋裂に起因する顔面非対称を呈する
骨格性下顎前突に対する再治療
(顎裂部骨移植、上下顎移動術)
口唇口蓋裂の治療例 矯正治療の既往のある左側唇顎口蓋裂に起因する顔面非対称を呈する骨格性下顎前突に対する再治療(顎裂部骨移植、上下顎移動術)
詳しい治療経過をご覧になられる場合は画像をクリックして下さい。



左側唇顎口蓋裂に起因する顔面非対称を呈する骨格性下顎前突
(第一期治療、顎裂部骨移植、第二期治療、上下顎移動術、最終補綴)
口唇口蓋裂の治療例 左側唇顎口蓋裂に起因する顔面非対称を呈する骨格性下顎前突(第一期治療、顎裂部骨移植、第二期治療、上下顎移動術、最終補綴)
詳しい治療経過をご覧になられる場合は画像をクリックして下さい。



左側唇顎口蓋裂に起因する上顎歯列弓狭窄を伴う顔面非対称を呈する
骨格性下顎前突
(T期治療、顎裂部骨移植、U期治療、上下顎移動術)
口唇口蓋裂の治療例 左側唇顎口蓋裂に起因する上顎歯列弓狭窄を伴う顔面非対称を呈する骨格性下顎前突(第一期治療、顎裂部骨移植、第二期治療、上下顎移動術)
詳しい治療経過をご覧になられる場合は画像をクリックして下さい。



種々の不正咬合の治療例はこちらからもご覧いただけます
治療例一覧
 ・成人の矯正治療例一覧
 ・子どもの矯正治療例一覧
 ・限局(部分)的な矯正治療例一覧
 ・顎変形症の矯正治療例一覧
 ・口唇口蓋裂の矯正治療例一覧
 


      

バナースペース

広島中央矯正歯科

〒730-0013
広島県広島市中区八丁堀11−10
KSビル5F

TEL 082-502-6803
FAX 082-502-6804