TEL. 082-502-6803
〒730-0013 広島県広島市中区八丁堀11-10KSビル5F
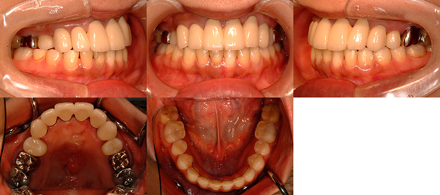
| 治療タイプ | 口唇口蓋裂 (保険診療) |
| 性別 | 女性 |
| 治療開始時年齢 | 顎裂部骨移植前後を含む上顎排列治療 24歳11か月 顎矯正手術を併用した顎変形症治療 26歳4か月 |
| 診断名 | 他院での矯正治療の既往がある左側唇顎口蓋裂に起因する顔面非対称を呈する 骨格性下顎前突 |
| 使用装置 | 第一期治療 上顎セクショナルアーチ、上顎リンガルアーチ 第二期治療 上下顎マルチブラケット矯正装置 |
| 治療期間 | 顎裂部骨移植前後を含む上顎排列治療 1年4か月 顎矯正手術を併用した顎変形症治療 1年5か月 |
| 抜歯or非抜歯 | (既抜) 非抜歯 |
| 抜歯部位 | 上顎右側:(第一小臼歯;既抜?) 上顎左側:(側切歯;既抜?) 下顎右側:(第三大臼歯) 下顎左側:(第三大臼歯) |
| 顎裂部骨移植年齢 | 25歳7か月 |
| 顎裂部骨移植の 術後合併症 |
一般的に、移植骨の露出や感染、創哆開が挙げられています。 本症例では臨床上問題となる症状は認められませんでした。 |
| 顎矯正手術術式 | 上顎骨前方移動術(Le Fort Ⅰ型骨切り術) 下顎骨後方移動術(両側下顎枝垂直骨切り術) |
| 顎矯正手術時年齢 | 27歳5か月 |
| 顎矯正手術に伴う偶発症・合併症 | 一般的に、出血、知覚異常、後戻り、顎関節症、Progressive Condylar Resorption、心理的不適応、閉塞型睡眠呼吸障害 などの可能性が挙げられています。 本症例では臨床上問題となる症状は認められませんでした。 |
| 矯正歯科治療における偶発症 | 一般的に、歯肉退縮、歯根吸収、齲蝕のリスクが挙げられて います。 → 一般的なリスク・副作用 本症例では臨床上問題となる症状は認められませんでした。 |




















〒730-0013
広島県広島市中区八丁堀11-10
KSビル5F
TEL 082-502-6803
FAX 082-502-6804