TEL. 082-502-6803
〒730-0013 広島県広島市中区八丁堀11−10KSビル5F
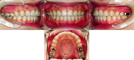
| 治療タイプ | 部分矯正 |
| 主訴 | 前歯のすき間を治したい |
| 性別 | 女性 |
| 治療開始時年齢 | 27才7か月 |
| 診断名 | 上顎前歯部空隙 |
| 使用装置 | 上顎セクショナルアーチ |
| 抜歯or非抜歯 | 非抜歯 |
| 治療期間、 治療回数、治療費 |
4か月、4回、187,500円(消費税導入前) *動的治療終了まで |
| 矯正歯科治療における偶発症 | 一般的に、歯肉退縮、歯根吸収、齲蝕のリスクが 挙げられています。 → 一般的なリスク・副作用 本症例では臨床上問題となる症状は認められ ませんでした。 |



〒730-0013
広島県広島市中区八丁堀11−10
KSビル5F
TEL 082-502-6803
FAX 082-502-6804