TEL. 082-502-6803
〒730-0013 広島県広島市中区八丁堀11−10KSビル5F
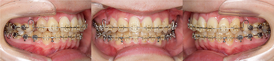
| 治療タイプ | 顎変形症 (保険診療) |
| 性別 | 女性 |
| 治療開始時年齢 | 24才11か月 |
| 診断名 | 上下顎前歯部軽度を伴う上顎前突症 |
| 使用装置 | 上下顎マルチブラケット矯正装置 |
| 抜歯or非抜歯 | 抜歯 |
| 抜歯部位 | 上顎左右第一小臼歯、(上下顎左右第三大臼歯) |
| 顎矯正手術術式 | 上顎前歯部歯槽骨切り術による 上顎前歯部後上方移動 |
| 手術時年齢 | 25才7か月 |
| 治療期間 | 1年11か月 術前矯正治療8か月 術後矯正治療1年3か月 |
| 顎矯正手術に伴う偶発症・合併症 | 一般的に、出血、知覚異常、後戻り、顎関節症、 Progressive Condylar Resorption、 心理的不適応、閉塞型睡眠呼吸障害などの可能性が 挙げられています。 本症例では臨床上問題となる症状は認められ ませんでした。 |
| 矯正歯科治療における偶発症 | 一般的に、歯肉退縮、歯根吸収、齲蝕のリスクが 挙げられています。 → 一般的なリスク・副作用 本症例では臨床上問題となる症状は認められ ませんでした。 |








〒730-0013
広島県広島市中区八丁堀11−10
KSビル5F
TEL 082-502-6803
FAX 082-502-6804