TEL. 082-502-6803
〒730-0013 広島県広島市中区八丁堀11−10KSビル5F
| 治療タイプ | 第一期治療 |
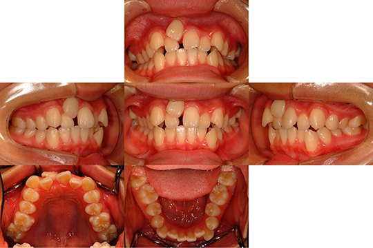
| 主訴 | 上の乳歯(上顎右側乳中切歯)が残っている |
| 性別 | 女性 |
| 初診時年齢 | 12才10か月 |
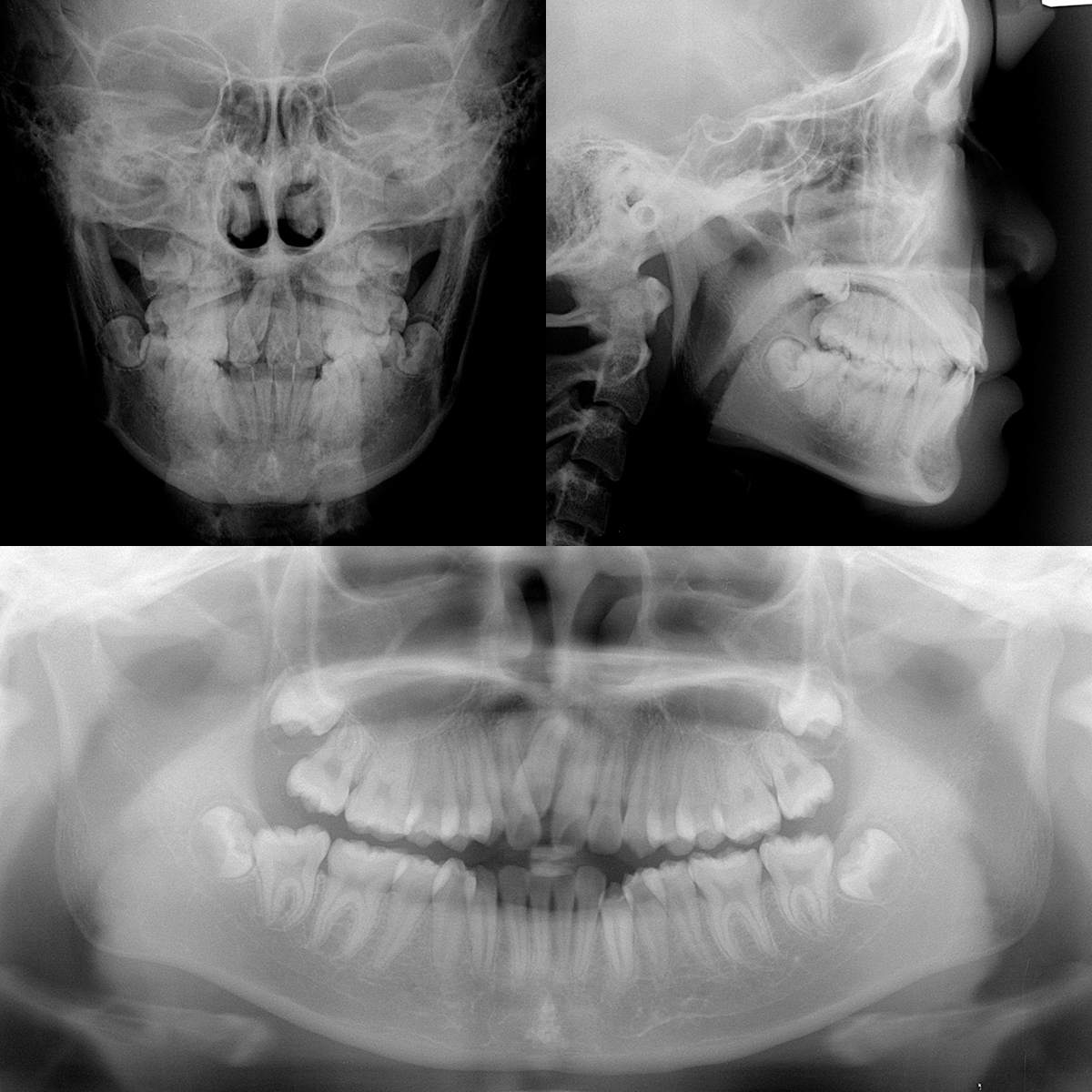
| 診断名 | 上下顎叢生を伴う上顎右側中切歯萌出遅延 |
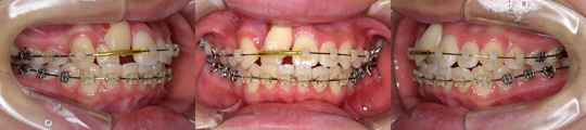
| 使用装置 | 上下顎マルチブラケット装置 |
| 抜歯or非抜歯 | 抜歯 |
| 抜歯部位 | 上顎右側:乳中切歯、第一小臼歯 |
| 治療期間、 治療回数、治療費 |
1年8か月、17回、645,015円 *動的治療終了まで |
| 矯正歯科治療における偶発症 | 一般的に、歯肉退縮、歯根吸収、齲蝕のリスクが 挙げられています。 → 一般的なリスク・副作用 本症例では臨床上問題となる症状は認められません でした。 |

















〒730-0013
広島県広島市中区八丁堀11−10
KSビル5F
TEL 082-502-6803
FAX 082-502-6804