TEL. 082-502-6803
〒730-0013 広島県広島市中区八丁堀11−10KSビル5F
| 治療タイプ | 第一期+第二期治療 |
| 主訴 | 上の前歯が出ているのを治したい |
| 性別 | 女性 |
| 治療開始時年齢 | 第一期治療 上顎セクショナルアーチ 10才5か月 第一期治療 咬合斜面板 10才11か月 第二期治療 上下顎マルチブラケット矯正装置 14才2か月 |
| 診断名 | 金属アレルギーを有する 上下顎前歯部叢生を伴う上顎前突 |
| 使用装置 | 第一期治療 上顎セクショナルアーチ 咬合挙上板 第二期治療 上下顎マルチブラケット矯正装置 |
| 治療期間 | 第一期治療 上顎セクショナルアーチ 5か月半 第一期治療 咬合挙上板 1年6か月 第二期治療 上下顎マルチブラケット矯正装置 1年3か月 |
| 抜歯or非抜歯 | 抜歯 |
| 抜歯部位 | 上顎右側:第一小臼歯 上顎左側:第一小臼歯 |
| 治療期間、 治療回数、治療費 |
第一期治療 2年、10回、434,175円 第二期治療 1年3か月、16回、455,460円 *第一期、第二期治療ともに動的治療終了まで |
| 矯正歯科治療における偶発症 | 一般的に、歯肉退縮、歯根吸収、齲蝕のリスクが 挙げられています。 → 一般的なリスク・副作用 本症例では臨床上問題となる症状は認められません でした。 |

第一期治療 上顎セクショナルアーチ治療開始時
*ベータチタニウムワイヤーを使用

第一期治療 上顎セクショナルアーチ治療開始1か月後

第一期治療 上顎セクショナルアーチ治療開始4か月後

第一期治療 上顎セクショナルアーチを用いた治療終了時

第一期治療 咬合挙上板治療開始時

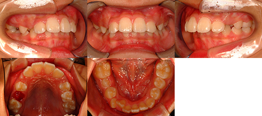
第二期治療(上下顎マルチブラケット矯正装置)開始時

第二期治療終了時

治療後1年4か月時

治療前(左)、第二期治療終了時(中央)、治療後1年4か月時(右)の
側貌

治療前(左)には上口唇が突出していましたが、
治療後(中央)、治療後1年4か月時(右)には改善されています
〒730-0013
広島県広島市中区八丁堀11−10
KSビル5F
TEL 082-502-6803
FAX 082-502-6804